
Важное открытие произошло в сфере нейронаук: исследователи Пермского Политехнического университета совместно с коллегами из ПГМУ имени академика Е.А. Вагнера и при поддержке Российского научного фонда (РНФ) зафиксировали случай деменции типа Пика, отмеченный впервые за четверть века в России. Это становится радостной новостью для медицинского сообщества и вдохновляет на дальнейшие успехи в диагностике и лечении редких нейродегенеративных заболеваний.
Преодоление сложностей ранней диагностики
Болезнь Пика крайне трудно распознать на ранних этапах, так как ее признаки часто маскируются под проявления других видов деменции. Обычно к специалистам пациенты попадают уже с выраженными изменениями поведения, а нередко характерные симптомы считаются результатом возрастных изменений или других психических расстройств. По этой причине большинство случаев остаются не выявленными, а у врачей и широкой общественности отсутствует достаточная осведомленность о данной патологии.
Окончательное подтверждение требует морфологического анализа мозга после смерти. Основной биологический маркер заболевания — заметные изменения в лобной и височной коре головного мозга. До последнего времени за 25 лет в России не проводились подтвержденные морфологические исследования, свидетельствующие о наличии болезни Пика. Именно поэтому новое открытие специалистов из Перми так значимо для российской науки и практической медицины.
Роль коллективной работы ученых
Команда ученых из Пермского Политеха и ПГМУ имени Вагнера под руководством Валерия Литвинова и Генриетты Фрейнд провела тщательное исследование мозга пациентки, проявлявшей типичные для деменции симптомы. После вскрытия и лабораторного изучения клеточных структур специалисты смогли установить бесспорный диагноз: деменция типа Пика. Данный случай был подробно задокументирован и станет важной частью международной базы данных по редким нейродегенеративным болезням.
Полученные морфологические сведения открывают новые горизонты для отслеживания индивидуальных паттернов течения заболевания, а также служат научной опорой для разработки инновационных методов диагностики и терапии. Совместные усилия ученых, поддерживаемых грантами РНФ, укрепляют авторитет российских научных учреждений на мировой арене.
Что происходит в мозге при болезни Пика
Причина появления и прогрессирования деменции Пика кроется в особенных изменениях на клеточном уровне, связанных с накоплением модифицированного тау-белка (в частности, его 3R-формы). В здоровом организме тау-белок стабилизирует внутренние структуры нейрона и обеспечивает правильную транспортировку веществ по микротрубочкам клетки. Однако при болезни Пика этот белок склонен к аномальному склеиванию, образуя "тельца Пика". Такие агрегаты мешают работе нейронов, нарушают внутриклеточные процессы, особенно в лобных и височных участках мозга, отвечающих за социальное поведение, эмоциональный фон и самоконтроль.
Особенность данного типа деменции заключается в том, что на ранних стадиях страдает поведение, а не память. Пациенты становятся эмоционально нестабильными, могут демонстрировать агрессию, теряют ощущение общественных норм, иногда совершают нехарактерные поступки — едят несъедобные предметы, проявляют расторможенность или даже нарушают правила личной гигиены. Воспоминания на некоторое время могут сохраняться, что отличает болезнь Пика от других форм деменции, например, от болезни Альцгеймера.
Значение новых исследований для общества и медицины
Феномен болезни Пика долгие годы оставался малоизученным именно из-за сложностей с подтверждением диагноза. Медицинское учреждение должно не только распознать симптомы, но и провести сложное лабораторное изучение ткани головного мозга. Благодаря усилиям пермских ученых, в том числе Генриетты Фрейнд и при поддержке РНФ, появилась база для ускорения процесса распознавания и уточнения диагностики, что откроет путь к новым клиническим подходам.
Раннее выявление патологии может существенно повысить качество жизни пациентов и облегчить работу врачей, а также снизить социальное бремя, связанное с нейродегенеративными болезнями. Открытие, сделанное коллективом из Пермского Политеха и ПГМУ имени Вагнера, может стать отправной точкой для появления в России высокоточных стандартов диагностики и терапии болезни Пика, а также для просветительских программ среди врачей и населения.
Оптимистичный взгляд в будущее
Значимость этого научного достижения сложно переоценить. Оно не только расширяет горизонты фундаментального понимания поражений центральной нервной системы, но и вселяет уверенность в прогресс российской медицинской науки. Пример Валерия Литвинова, Генриетты Фрейнд и их коллег вдохновляет молодых исследователей и подтверждает: совместная многолетняя работа способна принести реальные плоды и приблизить создание эффективных методов ранней диагностики и лечения редких заболеваний. Научные прорывы института делают будущее медицины в нашей стране более светлым и устойчивым.
Деменция Пика относится к числу редких неврологических заболеваний, которое затрагивает преимущественно лобные и височные доли головного мозга. За последние четверть века в отечественной медицинской литературе практически отсутствовали подробные патолого-анатомические исследования этого недуга. Благодаря совместной инициативе специалистов Пермского Политеха и ПГМУ им. академика Е. А. Вагнера, был проведён важный клинико-морфологический анализ уникального случая заболевания.
Уникальное наблюдение: начало и течение болезни
Исследователи наблюдали за 55-летней пациенткой, у которой не было психических осложнений в анамнезе. Однако в течение четырёх лет её состояние стремительно ухудшалось: появлялись ярко выраженная апатия, снижение интеллектуальных способностей, вспышки агрессии, проблемы с общением и резкая утрата личной гигиены. При поступлении в клинику выявили умеренную анемию и признаки цитолиза, когда клетки организма разрушаются, а их содержимое проникает в кровоток. В больнице ситуация ухудшалась — начались галлюцинации, периодические проявления агрессии и полная беспомощность. Несмотря на применявшуюся терапию, включая нейролептики, улучшения не наступило. В последние недели жизни женщина не могла двигаться и самостоятельно себя обслуживать, что подтверждает сложность и быстроту прогрессирования этого заболевания.
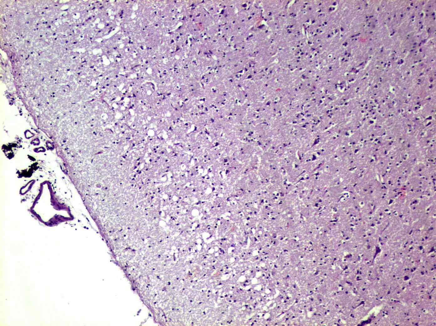
Патолого-анатомические открытия
После кончины пациентки специалисты провели серию морфологических исследований. Мозговая ткань была обработана формалином для максимального сохранения структуры клеток, а затем окрашена с использованием специальных методик, чтобы выявить тау-белки и характерные изменения нейронов. В гистологическом анализе обнаружили ключевые признаки деменции Пика: значительная атрофия лобных и височных отделов мозга, наличие особых скоплений — телец Пика — в нейронах. Под микроскопом чётко определялись пустые нейроны с ядрами, смещёнными к периферии — классический маркёр патологии.
Научная значимость: впервые за четверть века
Это редкое патолого-анатомическое подтверждение диагноза имеет большое значение для отечественной медицины. Как пояснил Валерий Литвинов, кандидат медицинских наук и старший научный сотрудник ПНИПУ, чаще всего столь сложные случаи ошибочно принимают за более распространённые психоневрологические патологии, такие как болезнь Альцгеймера или шизофрения. Здесь удалось установить истинную природу возрастающих нарушений поведения и когнитивных функций, а также достоверно подтвердить диагноз деменции Пика, что крайне важно для будущих исследований и спорных клинических случаев.
Поиск новых решений: перспективы успешной терапии
Сегодня медицина пока не располагает препаратами, способными остановить либо обратимо замедлить течение деменции Пика. Однако понимание механизмов заболевания вдохновляет научное сообщество на поиск новых подходов. Среди самых важных направлений называют изучение способов удаления патологических белковых скоплений в нервных клетках. Особое внимание уделяется аутофагии — естественному процессу самоочищения клеток от повреждённых компонентов, что потенциально открывает дверь к инновационным методикам лечения не только деменции Пика, но и других аналогичных форм деменции с нарушением обмена тау-белка.
Будущее исследований и вера в позитивные перемены
Несмотря на всю сложность и тяжелое течение болезни, отечественная наука проявляет уверенность в возможностях поиска новых решений. Своевременная диагностика, развитие технологий в области нейробиологии и объединение усилий учёных и практикующих врачей позволяют рассчитывать на перспективные открытия. Каждый новый случай, подтверждённый морфологически, приближает нас к созданию эффективных лекарств и трансформации стандартов диагностики и лечения деменции Пика, а значит, дает надежду многим семьям на качественную медицинскую помощь в будущем. Совместная работа российских специалистов подтверждает: даже при редких заболеваниях всегда есть место научному прогрессу и вере в выздоровление!
Ученые из Пермского Политехнического университета и ПГМУ имени академика Е.А. Вагнера достигли значительного прогресса, впервые за последние 25 лет задокументировав случай деменции Пика. Благодаря их труду удалось подробно изучить признаки и течение редкого неврологического заболевания, что содержит огромный потенциал для расширения знаний в области неврологии. Такой успех открывает новые горизонты в понимании природы болезни Пика и создает тот фундамент, на котором можно разрабатывать более эффективные методы диагностики и лечения.
Важность открытия для медицины
Описанный случай не только вошел в профессиональную медицинскую литературу, но и стал важной вехой в развитии отечественной неврологии. Полученные данные послужат основой для формирования крупномасштабной информационной базы по болезни Пика, что позволит специалистам глубже проанализировать механизмы возникновения этого недуга, а также поискать способы его профилактики и терапии. Эти достижения позволяют надеяться, что в будущем врачи смогут быстрее и точнее распознавать тяжелые нейродегенеративные состояния и разрабатывать новые подходы к реабилитации пациентов.
Работа отечественных ученых была осуществлена при поддержке гранта Российского научного фонда, что подчеркивает значимость подобного рода исследований для развития медицины. Исследование стало результатом усилий талантливых профессионалов, объединенных стремлением к инновациям и желанием находить ответы на сложные вопросы современной медицины.
Перспективы для пациентов и врачей
Детальное описание случая деменции Пика и его симптомов открывает для медицинского сообщества бесценную возможность изучения малоизученных аспектов болезни. Такой подход вдохновляет ученых и врачей на дальнейшие поиски и разработки. Благодаря этим новым знаниям врачи смогут точнее проводить диагностику, подбирать индивидуальные схемы лечения и эффективнее сопровождать пациентов и их близких на этапе восстановления. Подобные исследования формируют оптимистичный взгляд в будущее, укрепляя веру в возможность победы над тяжелыми неврологическими заболеваниями.
Источник: naked-science.ru







